Paradigmenwechsel für gesünderes Sitzen
Interdisziplinäre Forschungsstelle an der OTH Regensburg liefert wichtige Erkenntnisse
Zweitägiges Symposium „Gesundes Sitzen“ mit Festredner Walter Röhrl
Regensburg – In Deutschland ist der Dienstleistungsbereich von großer Bedeutung. Außerdem gehört bei ca. 70 Prozent der Arbeitsplätze Bildschirmarbeit zur Routine. Die DKV hat eine gesamte durchschnittliche Sitzbelastung von mehr als zehn Stunden pro Tag publiziert. Bisher fehlt es an Lösungen, um Sitzen gesünder zu machen. Muskelskelett-Erkrankungen sind die zweithäufigste Ursache für Arbeitsunfähigkeitszeiten und Frühberentungen. Sie machen fast ein Drittel aller Arbeitsausfälle aus. „Wenn wir beschäftigungsbedingt sitzen müssen, sollten wir gesund sitzen“, fordert Prof. Dr. med. Dr. h.c. mult. Joachim Grifka, Leiter der Forschungsstelle Orthopädie und Ergonomie an der Ostbayerischen Technischen Hochschule Regensburg. Er hatte zum zweitägigen Symposium „Gesundes Sitzen“ an die OTH eingeladen. Mit Experten aus ganz Deutschland war auch Rallye-Weltmeister Walter Röhrl als Festredner gekommen.
Besonders ausgeprägt waren während der Covid-Zeit Rücken- und Schulter-Nacken-Beschwerden durch Homeoffice. Auch heute gilt noch, dass der Arbeitgeber zwar IT-Sicherheitsmaßnahmen für die Verwendung eines Laptops trifft, aber nicht für die sonstigen Arbeitsmittel zuständig ist. So ist findet das Arbeiten stundenlang am Küchentisch und mit einem nicht geeignetem Stuhl oder einer entsprechenden Einheit von Stuhl, Tisch und Bildschirm statt.
In der Covid-Zeit sind ein Drittel mehr Patienten mit behandlungsbedürftigen Halswirbelsäulenbeschwerden, bis hin zu Bandscheibenvorfällen in den Sprechstunden gewesen. Eine wesentliche Ursache ist die falsche Einstellung des Stuhls und die falsche Stellung des Bildschirms. Der Tisch muss in der Höhe so eingestellt sein, dass die Unterarme leicht zur Schreibtischfläche nach unten geneigt sind, also die Hände quasi auf die Tastatur fallen. Der Bildschirm soll mit der Oberkante auf Höhe der Augen sein, so dass der Kopf leicht nach unten geneigt ist, was zu einer geraden Halswirbelsäule beiträgt. „Es sind zum Teil recht einfache Maßnahmen, um Beschwerden durch Schreibtischarbeit zu bessern oder auch ganz zu beheben“, so Prof. Joachim Grifka, Leiter der Forschungsstelle Orthopädie und Ergonomie der OTH Regensburg, Veranstalter des Symposiums „Gesundes Sitzen“.
Auf dem Sitzsymposium wurde die richtige Einrichtung, die Einstellung des Bürostuhls und die Anordnung des Bildschirms auf den Schreibtisch gezeigt. Eine detaillierte Zusammenstellung, einschließlich gezielter Übungen für Rumpf, Wirbelsäule und Schulter-Nacken-Bereich hat Grifka in seinem Ratgeber „Gesund im Homeoffice und Büro“ zusammengefasst.
„In den achtziger Jahren hat die Autositzentwicklung den Lendenwulst promotet, der in ähnlicher Weise auch bei Bürostühlen umgesetzt wurde. Heute wissen wir, dass dies anatomisch-ergonomisch ungünstig ist und zu Beschwerden im Rücken und Hüftbereich führen kann.“ so Prof Joachim Grifka. Als Abstützung des Oberkörpers und Entlastung der Wirbelsäule hat er eine Thoraxstütze entwickelt, die sich in der Routine bei Fahrzeugsitzen und im Bürobereich bewährt hat. „Die Innovation der Thoraxstütze anstelle des Lendenwulstes ist ein Paradigmenwechsel und eine Grundlage für ein gesünderes Sitzen“, so Grifka weiter. Dies wurde in einem Bürostuhl umgesetzt und in seiner Wirkung evaluiert.
Im Homeofficebereich muss Sitzen mit den gleichen Anforderungen wie im Büro umgesetzt werden. Aktives Sitzen ist ein Schlüssel für gesünderes Sitzen am Schreibtisch. Hierzu zeigen myoelektrische Messungen die Vorteile der Muskelaktivität beim Sitzen, wie dies mit einer Doktorarbeit belegt wurde.
„Die interdisziplinäre Zusammenarbeit ist ein großer Vorteil der OTH-Regensburg.“ So Prof Hans Peter Rabl, Fahrzeugentwicklung, Fakultät Maschinenbau der OTH. „Neben den klassischen Entwicklungen im Fahrzeugbereich, arbeiten wir an Innovationen am Sitz. Ein Beispiel ist die Sitzschale für den student racer, einen Formel Wagen, der für Wettrennen im studentischen Bereich genutzt wird. Diese Erfahrungen sind Grundlage für individuelle Sitzausarbeitungen, die künftig in Serienfahrzeugen verwendet werden können.
Ein Highlight des Sitzsymposiums war der Festvortrag der Rallye-Legende Walter Röhrl, der in atemberaubenden Videos seine Fahrkünste vorgestellt hat und eindrucksvoll von seinen Rallye-erlebnissen berichtet hat. Die Sitzausstattung hat für ihn besondere Bedeutung, weil er für seine Fahrkünste „einen Sitz wie eine zweite Haut braucht.“ Seine Erfolge hat er mit maßgeschneiderten Individualsitzen errungen. Dazu Prof. Grifka: „Dies ist ein Vorbild für die künftige Ausstattung. Mit modernen Techniken der Herstellung kann dies für einen großen Kreis von Fahrzeugbesitzern umgesetzt werden.“ Auch Bürgermeisterin Dr. Astrid Freudenstein war zum Symposium „Gesundes Sitzen“ gekommen und betonte in diesem Zusammenhang die große Innovationskraft der OTH Regensburg, die in enger Zusammenarbeit mit Mittelstand und Industrie anwendungsbezogene Forschung macht und Entwicklung vorantreibt, um die Wettbewerbsfähigkeit zu stärken.
Link zum Symposium „Gesundes Sitzen“ am 18. und 19. September 2025:
https://gesundes-sitzen.rcbe.de/
„Gesund im Homeoffice und Büro (Joachim Grifka/Springer-Verlag) – Link zur Anforderung eines Rezensionsexemplares:
https://www.springer.com/de/reviewers



Weitere Pressemitteilungen finden Sie unten:
Medizin ist Vertrauenssache
Wer sich bewusst für eine Ärztin oder einen Arzt entscheidet, startet meist mit mehr Optimismus in die Behandlung, fühlt sich besser aufgehoben und hält die Therapieempfehlungen konsequenter ein. Das Ergebnis: messbar bessere Behandlungserfolge.
Eine wertvolle Unterstützung bei der Arztwahl bietet seit über 30 Jahren die FOCUS-Ärzteliste – jährlich aktualisiert und auf einer objektiven Methodik basierend.
Das zeigt auch das Beispiel von Max L. aus der Schweiz: Wegen einer fortschreitenden Knie-Arthrose suchte er nach einem ausgewiesenen Spezialisten. In der FOCUS-Ärzteliste fand er Prof. Dr. med. Joachim Grifka, renommierter Experte für Knieerkrankungen – und profitierte von dieser gezielten Wahl.
Die komplette Pressemitteilung finden Sie, wenn Sie links auf das Bild klicken.

Seit April: Neue Praxisräume in Regensburg!
Wir sind gerne Ihre Ansprechpartner und Behandler bei allen Erkrankungen der Wirbelsäule, Knochen und Gelenke, in jedem Lebensalter. Eine sorgfältige Diagnostik und Empfehlung der Therapie ist uns ein wichtiges Anliegen. Gern stehen wir auch für eine Zweitmeinung zur Verfügung.

Galgenbergstraße 25
93053 Regensburg
Nutzen Sie das Kontaktformular zur Terminbuchung oder rufen Sie uns an.

Sitzen ist ein fester Bestandteil unseres Alltages.
Wann: 18. & 19. September 2025
Wo: OTH Regensburg, Hörsaal D002
Anmeldung bitte über folgenden Link: https://gesundes-sitzen.rcbe.de/
In umfassender Darstellung wird von namhaften Referenten das Sitzen in dynamischer Umgebung und in statischer Umgebung abgedeckt. Die Anforderungen sind je nach Aufgabenstellung unterschiedlich. Gleichwohl lassen sich von gesundheitlichen Grundlagen Grundsätze ableiten, die uns bei Planung und Umsetzung günstiger Sitzkonzepte helfen. Mit diesem Symposium werden innovative Lösungsansätze demonstriert.
Lesen Sie schon jetzt die Kongressvorschau!
Für die konzeptionelle Mitgestaltung dieser Zusammenstellung danke ich insbesondere Susan Freiberg, Michael Leitzmann, Johann Tomforde, Peer-Oliver Wagner und Dirk Windemuth. Unser gemeinsames Ziel: Sitzen muss gesünder werden.
Ich wünsche Ihnen ein anregendes Symposium!
Joachim Grifka
Prof. Dr. med. Dr.h.c. mult. Joachim Grifka
Leiter der Forschungsstelle Orthopädie und Ergonomie
Fakultät für Maschinenbau
OTH Regensburg
Ratgeber „Rücken“ erschienen
Es ist so weit: der neue Ratgeber „Rücken“ ist ab sofort in allen Buchhandlungen und für Bestellungen verfügbar. Er basiert auf dem bisherigen Patientenbuch, das die einzelnen Erkrankungen laienverständlich erklärt und Kapitel für Verhaltensmaßnahmen – Rückenschule – und Übungen hat. Dieser neue Ratgeber ist in wesentlichen Bereichen anders konzipiert. Es sind die Erfahrungen der jahrzehntelangen Betreuung und Behandlung von Kindern und Erwachsenen eingeflossen. Der Übungsteil ist mit Videos zur genauen Anleitung ausgearbeitet und es sind ebenso Konzepte für ein Gruppentraining dargestellt. Wenn man dieses Buch durchgeht, kann man verstehen, woher Beschwerden kommen und wie man sich richtig verhält. Das dient sowohl der Behandlung als auch der Prävention.
Wir sind alle durch einseitige Belastungen beansprucht und haben nicht die natürliche Bewegung und Abwechslung. Selbst Sitzen ist Belastung für den Rücken: Sitzen ist das neue Rauchen. Mit rückenfreundlichen Verhaltensmaßnahmen müssen wir schon im Kindesalter beginnen. Es gibt genaue Anleitungen, was Kinder schon früh spielerisch und im Schulalter lernen sollten. Dies ist aus Programmen wie „Rückenschule für Kinder“ oder „Rückenfit, unsere Schule macht mit“ entwickelt worden.
Wir sind eine Sitzgesellschaft. Bildschirmarbeitsplätze sind in vielen Bereichen Standard, heute oft auch im Home Office. Nacken- und Kopfschmerzen, Verspannungen im ganzen Rückenbereich, Schmerzen in die Arme oder ein Mausarm sind häufige Beschwerden. Deswegen ist es wichtig, einige einfache Dinge im Alltag zu beachten. Dazu gibt es ausführliche Text- und Bilddarstellungen.
Bandscheibenbeschwerden können durch ungünstige Belastungen entstehen. Wichtig: Nicht gleich operieren! Es gibt sehr gute Möglichkeiten, auch bei großen Bandscheibenvorfällen ohne Operation schmerzfrei und wieder voll einsatzfähig zu werden.
Die Maßnahmen der Rückenschule sind durch jahrelange Erfahrung geprägt ebenso wie die detaillierten Übungsbehandlungen. Von Frau Anne Toffel, eine erfahrene Physiotherapeutin, die viele Jahre Patienten mit ihren Rückenbeschwerden erfolgreich behandelt hat und Spitzensportler betreut, ist der Übungsteil mit anschaulichen Videos gestaltet. Sie können und müssen selbst einiges für Ihren Rücken tun. Wichtig ist, dass man keine ungünstigen Übungen macht, die die Beschwerden verschlechtern. Auch hier gibt es einfache Regeln, die zu beachten sind. Wir zeigen Ihnen genau, wie es richtig ist.
Nanofettstammzellentransplantation gegen Schmerzen bei Arthrose
Stammzellen sind die Grundlage der Gewebsregeneration. Je nach Gewebeart haben sie unterschiedliche Eigenschaften. Fettstammzellen haben den Effekt, dass sie auch gegen Entzündungen wirken. Damit sind nicht bakterielle Entzündungen, sondern Reizung mit Mehrdurchblutung (Rötung und Überwärmung) und im Gelenkbereich mit Ergussbildung aufgrund der Mehrdurchblutung der Schleimhaut gemeint. Mit entzündlichen Veränderungen treten auch Schmerzen auf. Bei Gelenken mit Verschleiß (Arthrose) sind bei Belastung entzündliche Veränderung mit Rötung, Überwärmung, Schwellung und Schmerz typisch.
Es gibt ein ganz unterschiedliches Schmerzempfinden. Manche Menschen haben selbst bei ausgeprägten Arthrosen mit völlig aufgebrauchtem Gelenkknorpel und frei liegendem Knochen, z.T. zusätzlich verknöcherten und schiefen Gelenken, keine oder kaum Schmerzen. Deswegen sind Röntgenbild oder Kernspinaufnahmen für die Entscheidung für ein künstliches Gelenk nicht ausschlaggebend, sondern immer die individuelle Beschwerdesymptomatik und Einschränkung im Alltag.
Ziel ist es nun, bei einer vorliegenden Arthrose einen Zustand der Schmerzarmut oder gar Schmerzfreiheit zu erreichen. Dann kann man eine Prothesenversorgung oder andere Operationen aufschieben und z.T. viele Jahre mit dem eigenen Gelenk gewinnen. Wohlgemerkt: Es bleibt die Arthrose, aber man kann wieder aktiver sein.
Während Knochenmarkstammzellen zur Verknöcherung führen, haben Fettstammzellen einen entzündungshemmenden Effekt. Bei bis zu 90 % der Patienten zeigt sich nach Fettstammzellentransplantation bei Arthrose eine wesentliche Schmerzbesserung bis hin zur Schmerzfreiheit.
Die Qualifikation für die Behandlung von Arthrosen haben Fachärzte für Orthopädie. Sie wissen auch, wie man z.B. Gelenke punktiert und spritzt. Nur wenige wissen, wie man Nanofettstammzellen transplantiert und haben die Erlaubnis der behördlichen Stellen, um eine solches Verfahren anzuwenden. Auch bedarf es nach den gesetzlichen Bestimmungen zurecht genauer Kriterien, in welchen Einrichtungen und wie die Transplantation zu erfolgen hat, z.B. in einem dafür zugelassenen Operationssaal, um die Sterilität und die korrekte Vorgehensweise bei der Transplantation zu gewährleisten. Die Lizenz ist also orts- und personengebunden.
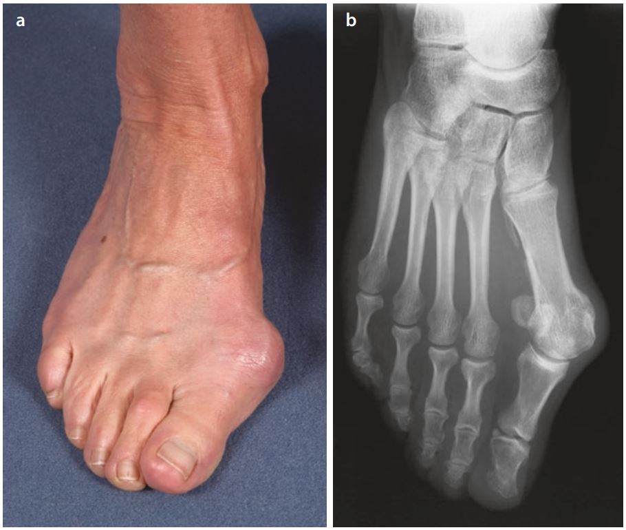
Der kritische Punkt für eine Operation der schiefen Großzehe – Hallux valgus
Die Schiefstellung der Großzehe ist eine häufige Veränderung. Die Frage ist oft, was noch toleriert werden kann und wann es angeraten ist, zu operieren. Probleme macht häufig der Ballen – die Vorwölbung des Mittelfußköpfchens, die Druck vom Schuh bekommt und gerötet ist.
Die ideale Fußform mit der regelrechten Wölbung an der Innenseite des Fusses und der Belastung des Vorfusses an den Randstrahlen, dem 1. Und 5. Mittelfußköpfchen, ist selten. Unsere Füsse haben wenig Freiraum, um die Schrittabwicklung ohne die Einwirkung des Schuhwerks zu machen. Sandalen bieten noch die größte Freiheit. Die meiste Zeit sind sie in festem Schuhwerk und wir trampeln auf ihnen herum. beginnt schon im Kindesalter.
Beschwerden treten in der Regel erst auf, wenn der Fuß ganz aus dem Gleichgewicht gekommen ist. Häufige Veränderungen finden an den Zehen statt. Die Kleinzehen können durch Schuhdruck und durch Muskelveränderungen mit Verlust der Balance der Muskel- und Sehnenzügeln an den Zehen zu Fehlstellungen als Krallen- oder Hammerzehen. Das kann sehr schmerzhaft sein, wenn durch Schuhdruck Hühneraugen entstehen und jede Berührung unangenehm ist. Polster zwischen den Zehen rauben zusätzlich Platz und verlagern nur die Probleme an einer Zehe auf die anderen. Oft geraten dadurch die anderen auch in eine Fehlstellung.
Die Grosszehe hat besondere Bedeutung bei der Abrollung des Fusses. Der letzte Druck beim Abstossen des Fusses kommt von der Großzehe. Wenn diese Abwicklung nicht mehr funktioniert, dann wird die Grosszehe oft noch mehr in die Schiefstellung gedrängt. Ganz wesentlich sind die Sehnenzüge an der Grosszehe. Sie halten die Grosszehe. Wenn sie verlagert werden, können sie die Grosszehe noch mehr in die Schiefstellung ziehen, wodurch die Kleinzehen auch verdrängt werden oder ich sogar übereinanderlegen.
Den kritischen Punkt, wann die Grosszehe rapide weiter in die Schiefstellung gerät und damit auch die anderen Zehen verdrängt, und deswegen gehandelt werden muss, kann jeder gut erkennen. Man sieht dies daran, dass sich die Grosszehe verdreht. Die verlagerten Sehnenzüge führen dann zu der schnellen weiteren Zunahme der Schiefstellung. Dann ist die Nagelplatte nicht mehr in der Ebene der Kleinzehen, sondern dreht sich mit der Zehe nach aussen (pronatorische Aufdrehung). Gleichzietig wird von der schiefen Grosszehe der Ballen noch weiter herausgedrückt. Bei einer solchen Verdrehung der Gorsszehe muss eine Operation erfolgen, um nicht noch weiter fortschreitende Veränderungen an den anderen Zehen und im ganzen Vorfuss zu riskieren.
Zweitmeinung statt vorschneller Operation
Eine Zweitmeinung vor einer Behandlung dient dazu, dass sich Patienten umfassend informieren können und zusätzlich von einer/m anderen Ärztin/Arzt Auskunft über ihre Erkrankung und Behandlungsmöglichkeiten bekommen. Vor allem vor Operationen hat dies zunehmende Bedeutung bekommen, damit auch alle Möglichkeiten einer nicht-operativen Behandlung, also konservativer Therapie, genutzt werden und nicht vorschnell operiert wird. Ich habe dies schon 20.. propagiert und durchgeführt. 20.. hat es dann auch erste gesetzliche Regelungen zum Anrecht auf eine Zweitmeinung gegeben.
Es wichtig, dass man versteht, was für eine Erkrankung mit welcher Ausprägung, Einschränkung, Prognose und Behandlungsmöglichkeit vorliegt. Bei Recherchen im Internet bekommen Betroffene höchst unterschiedliche, nicht gesicherte Aussagen. Außerdem ist schon allein die Diagnose nicht durch eine Internetrecherche sicher zu treffen. Eine Therapie muss immer individuell beraten werden.
Die meisten Anfragen zur Zweitmeinung bekomme ich zu Wirbelsäulenerkrankungen und bei Entscheidungen zu künstlichen Gelenken. In aller Regel gibt es gute Alternativen zu einer Operation, selbst bei ausgeprägten Beschwerden mit Bandscheibenvorfällen im Kernspin muss nicht immer operiert werden. In etwa 80 % der für eine Bandscheibenoperation vorgesehenen Patienten kann ich eine erfolgreiche konservative Therapie vorschlagen.
Ebenso wie im Bereich der Wirbelsäule ist die Zahl der jährlich eingesetzten künstlichen Gelenke für Knie und Hüfte mit der Einführung der Fallpauschalen in Deutschland rasant angestiegen. Die Entscheidung, ob eine Gelenkprothese erforderlich ist, ist von mehreren Faktoren abhängig. Wie bei der Wirbelsäule gilt, dass nicht vorschnell operiert werden sollte. Die konservativen Behandlungsmöglichkeiten hängen v.a. von der Ausprägung der Beschwerden und weniger von dem Röntgen- und Kernspinbefund ab. Die Behandlungsoptionen sind vielfältig. Eine zusätzliche, sehr erfolgreiche Option für die Erhaltung eines arthrotischen Gelenkes ist die Nanofettstammzellentransplantation, wie ich diese nach Erfahrungen im Ausland als einer der ersten in Deutschland eingeführt habe.
Insgesamt ist festzustellen, dass Betroffene mit Wirbelsäulenproblemen und Gelenkverschleiß gute Möglichkeiten der nicht-operativen Therapie haben.