Was ist Gonarthrose? – Bedeutung und Auswirkungen
Gonarthrose ist der fortschreitende Verschleiß des Gelenkknorpels im Kniegelenk, der zu Schmerzen, Bewegungseinschränkungen und Funktionsverlust führt. Diese degenerative Erkrankung betrifft das Knie als größtes und komplexestes Gelenk des menschlichen Körpers und entwickelt sich meist schleichend über Jahre hinweg.
Die Bedeutung der Gonarthrose liegt in ihrer enormen Häufigkeit: Im 70. Lebensjahr zeigen nahezu alle Menschen Arthrosezeichen im Kniegelenk, auch wenn nicht immer Beschwerden auftreten. In Deutschland zählt die Kniearthrose zu den führenden Berufskrankheiten des Bewegungssytems und verursacht erhebliche volkswirtschaftliche Kosten durch Behandlungen und Arbeitsausfälle. Oft treten Beschwerden schon um das 30. Lebensjahr auf. Bei Frauen gibt es eine Häufung mit Eintritt der Menopause.
Frühe Erkennung und angemessene Behandlung können den Krankheitsverlauf positiv beeinflussen und die Lebensqualität der Betroffenen deutlich verbessern. Dieser Leitfaden erklärt die Grundlagen der Gonarthrose, Diagnose- und Behandlungsmöglichkeiten sowie realistische Erwartungen an verschiedene Therapien.
Der Überblick umfasst: anatomische Grundlagen, Formen der Kniearthrose, Ursachen und Risikofaktoren, Symptome und Stadien, konservative und operative Behandlungsmöglichkeiten sowie häufige Fragen von Patienten.
Grundlagen der Gonarthrose: Definitionen und Konzepte
Anatomie des Kniegelenks
Das Kniegelenk besteht aus drei Hauptknochen: dem Oberschenkelknochen (Femur), dem Schienbein (Tibia) und der Kniescheibe (Patella). Diese Knochen bilden drei Gelenkkompartimente – das mediale (innere), laterale (äußere) und patellofemorale (zwischen Kniescheibe und Oberschenkelknochen) Kompartiment.
Der Gelenkknorpel fungiert als reibungsarme Gleitschicht zwischen den Knochenflächen und ermöglicht geschmeidige Bewegungen. Diese Knorpelschicht ist nur wenige Millimeter dick, aber entscheidend für die Funktion des Gelenks. Die Menisken wirken als Stoßdämpfer und Stabilisatoren, während die Gelenkflüssigkeit (Synovia) den Knorpel mit Nährstoffen versorgt.
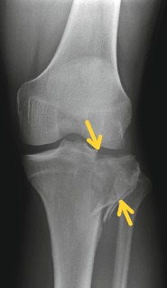
Bei der Gonarthrose kommt es zum progressiven Verlust dieser Knorpelschicht, was zunächst zu Aufrauhungen, später zu tieferen Defekten bis hin zum kompletten Knorpelverlust führt. Sekundär entstehen Veränderungen am Knochen, Anbauten (Osteophyten) und Entzündungen der Gelenkschleimhaut.

Formen der Gonarthrose
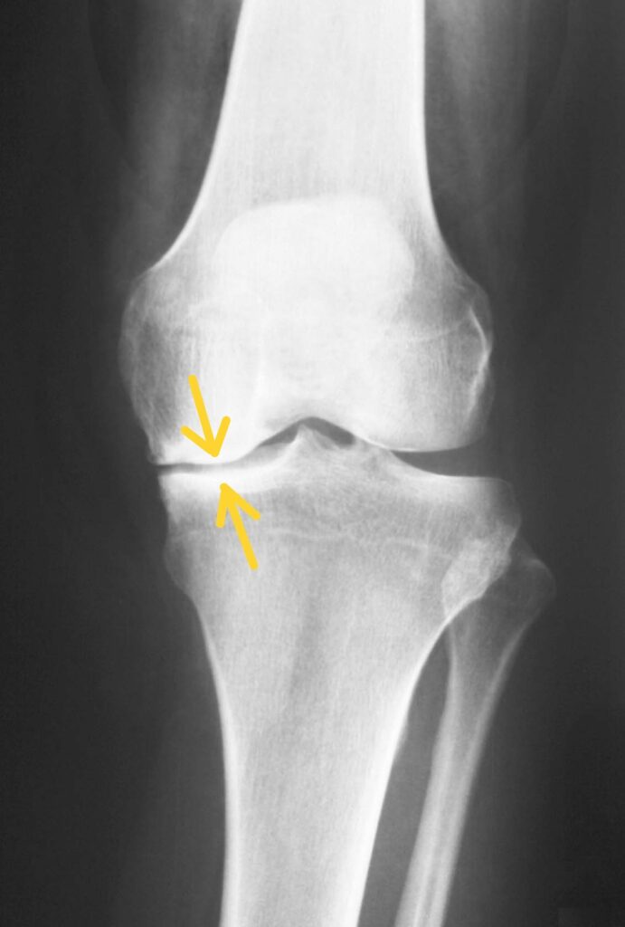
Mediale Gonarthrose: Der Verschleiß betrifft hauptsächlich die innere Gelenkfläche zwischen Oberschenkelknochen und Schienbein. Diese Form ist häufig mit einer O-Bein-Fehlstellung verbunden und zeigt sich durch Schmerzen an der Knieinnenseite.

Laterale Gonarthrose: Hier ist die äußere Gelenkfläche betroffen, oft in Verbindung mit X-Beinen. Schmerzen treten typischerweise an der Knieaußenseite auf.
Retropatelläres (patellofemorales) Syndrom: Diese Form betrifft das Gelenk zwischen Kniescheibe und Oberschenkelknochen. Betroffene leiden besonders beim Treppensteigen und längerem Sitzen unter Beschwerden.

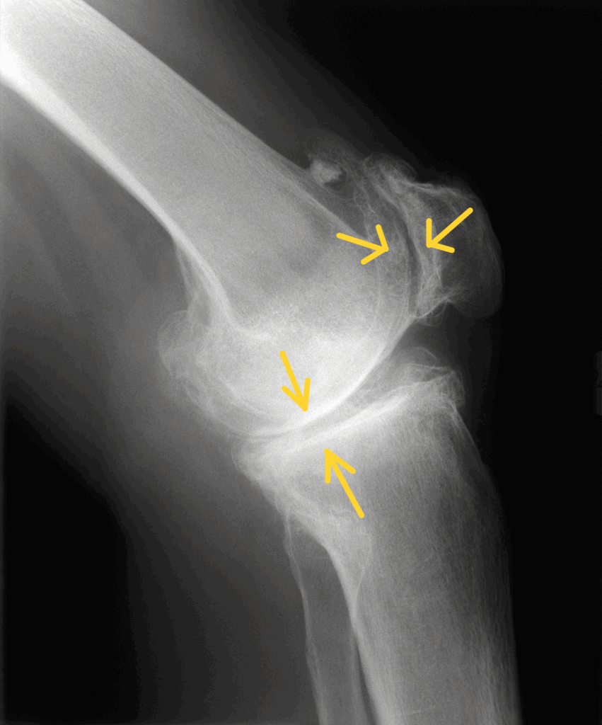
Pangonarthrose: Bei dieser schwerwiegendsten Form sind alle Gelenkkompartimente vom Verschleiß betroffen. Die Symptome sind entsprechend ausgeprägter und die Behandlung komplexer.


Röntgenbild einer schwerwiegenden Arthrose im Kniegelenk mit nahezu aufgebrauchten Gelenkspalt innen- und außenseitig (Pangonarthrose)
Warum Gonarthrose in der Orthopädie wichtig ist
Die volkswirtschaftliche Bedeutung der Gonarthrose ist erheblich. Studien zeigen, dass die direkten und indirekten Kosten durch Kniearthrosen jährlich mehrere Milliarden Euro in Deutschland verursachen. Dies umfasst Behandlungskosten, Rehabilitationsmaßnahmen und Produktivitätsverluste durch Arbeitsausfälle.
Für die Lebensqualität der Betroffenen bedeutet eine fortgeschrittene Gonarthrose massive Einschränkungen im Alltag. Einfache Aktivitäten wie Gehen, Treppensteigen oder das Aufstehen aus dem Sitzen werden zur Belastung. Die chronischen Schmerzen führen häufig zu Schlafstörungen, reduzierter körperlicher Aktivität und sozialer Isolation.
Die Prävalenz ist alarmierend: Über 50-Jährige zeigen zu 88% Arthrosezeichen im Röntgen, auch wenn nicht alle symptomatisch sind. Die Geschlechterverteilung zeigt eine höhere Betroffenheit von Frauen, was teilweise auf hormonelle Veränderungen nach der Menopause und anatomische Unterschiede zurückzuführen ist.
Frühe Intervention kann den Krankheitsverlauf positiv beeinflussen und das Fortschreiten der Erkrankung verlangsamen, auch wenn eine Heilung im eigentlichen Sinne nicht möglich ist.
Stadien und Schweregrade der Gonarthrose
| Stadium | Kellgren-Lawrence Grad | Knorpelzustand | Symptome | Röntgenbefund |
|---|---|---|---|---|
| Grad 1 | Leichte Veränderungen | Knorpelerweichung | Meist keine Beschwerden | Geringe Osteophyten |
| Grad 2 | Mäßige Arthrose | Oberflächliche Knorpelauffaserung | Anlaufschmerz, Belastungsschmerz | Deutliche Osteophyten, leichte Gelenkspaltverschmälerung |
| Grad 3 | Deutliche Arthrose | Tiefe Knorpelrisse bis zum Knochen | Starke Schmerzen, Bewegungseinschränkung | Starke Gelenkspaltverschmälerung, Sklerosierung |
| Grad 4 | Schwere Arthrose | Vollständiger Knorpelverlust | Ruhe- und Nachtschmerz, starke Funktionseinschränkung | “Knochen auf Knochen”, ausgeprägte Deformierung |
Die Stadieneinteilung nach Kellgren-Lawrence ist international anerkannt und hilft bei der Therapieplanung. Wichtig ist, dass nicht immer eine direkte Korrelation zwischen Röntgenbefund und Beschwerden besteht – manche Patienten haben trotz ausgeprägter Arthrosezeichen wenig Schmerzen, während andere bereits bei geringeren Veränderungen stark leiden.
Ursachen und Risikofaktoren der Gonarthrose
Primäre Ursachen – man kennt keinen Grund für die Arthrose
Der natürliche Alterungsprozess ist die Hauptursache der primären Gonarthrose. Wir kennen keine eigentliche Ursache.
In der normalen Entwicklung nimmt die Anfälligkeit des Knorpelgewebes kontinuierlich zu. Die Abnützung durch jahrzehntelange Belastung führt in der Summe zur Degeneration.
Man versucht, Ursachen des Knorpelverschleisses zu identifizieren. Studien zeigen eine familiäre Häufung von Knorpelschwäche und Arthrose. Bestimmte Genvarianten beeinflussen die Kollagenstruktur .Das kann Einfluss auf die Belastbarkeit des Gelenkknorpels haben.
Sekundäre Ursachen – es gibt einen erkennbaren Grund für die Arthrose

Traumata und Verletzungen sind häufige Auslöser der sekundären Gonarthrose. Kreuzbandrisse, Meniskusschäden, Knochenbrüche im Kniebereich oder andere Knieverletzungen können die normale Gelenkfunktion beeinträchtigen und zu vorzeitigem Verschleiß führen.
Geschlechtsspezifische Faktoren erklären die höhere Betroffenheit von Frauen. Hormonelle Veränderungen nach der Menopause, insbesondere der Östrogenmangel, beschleunigen den Knorpelabbau.
Angeborene Fehlstellungen wie X-Beine, O-Beine oder Hüftdysplasien führen zu ungleichmäßiger Druckverteilung im Kniegelenk und beschleunigen den Verschleiß bestimmter Gelenkbereiche.
Übergewicht belastet das Kniegelenk mechanisch und biochemisch. Jedes zusätzliche Kilogramm Körpergewicht erhöht die Belastung beim Gehen.
Berufliche Belastungen durch häufiges Knien, schweres Heben oder monotone Bewegungen können ein zusätzliches Risiko für eine Arthrose darstellen. Anerkannte berufliche Belastungen bestehen bei langjähriger, intensiver Arbeit als Fliesenleger, Bergmann und bei Beschäftigten in manchen Bereichen der Baubranche.
Sportliche Überlastung in Kontaktsportarten mit abrupten Richtungswechseln (Fußball, Basketball, Tennis) kann zu Mikroverletzungen und vorzeitigem Verschleiß führen. Auch intensives Laufen auf harten Böden kann die Gelenke belasten.
Entzündliche Erkrankungen wie rheumatoide Arthritis oder bakterielle Gelenkinfektionen können sekundär zu Knorpelschäden und Arthrose führen.
Häufige Fehler bei der Gonarthrose-Behandlung
Fehler 1: Komplette Schonung statt angemessener Bewegung. Viele Betroffene vermeiden jegliche Belastung aus Angst vor Schmerzen. Jedoch braucht der Gelenkknorpel Bewegung für seine Ernährung. Komplette Ruhigstellung führt zu weiterem Knorpelabbau und Verlust der Muskelkraft.
Fehler 2: Zu späte Diagnosestellung. Anfängliche Beschwerden werden oft als normale Alterserscheinungen abgetan. Dabei können frühe Interventionen den Krankheitsverlauf positiv beeinflussen und gelenkerhaltende Maßnahmen noch greifen.
Fehler 3: Vernachlässigung von Gewichtsreduktion bei Übergewicht. Die Gewichtsabnahme ist eine der wirksamsten Maßnahmen bei Gonarthrose, wird aber häufig unterschätzt. Bereits eine Reduktion um 10% des Körpergewichts kann Beschwerden deutlich lindern.
Fehler 4: Übermäßiger Einsatz von Schmerzmitteln ohne eigentliche Therapie. Schmerzmittel können kurzfristig helfen, lösen aber nicht die Ursache. Langfristige Einnahme von NSAR (nicht-steroidale Antirheumatika) birgt Risiken für Magen, Herz und Nieren.
Klinische Empfehlung: Eine frühzeitige multimodale Therapie kombiniert verschiedene Behandlungsansätze optimal. Verhaltensmassnahmen der Knieschule, Bewegungsübungen in Eigenregie, Physiotherapie, Gewichtskontrolle, angemessene Bewegung und bei Bedarf medikamentöse Unterstützung ergänzen sich synergistisch für die besten Ergebnisse.
Fallbeispiel: Erfolgreiche Gonarthrose-Behandlung
Patientenvorstellung: Eine 58-jährige Büroangstellte stellte sich mit zunehmenden Knieschmerzen vor. Die Diagnose ergab eine mediale Gonarthrose Grad 3 mit ausgeprägten Veränderungen im Röntgenbild.
Ausgangssituation:
- Starke Anlaufschmerzen morgens und nach längerem Sitzen
- Gehstrecke unter 500 Metern möglich
- BMI von 32 (deutliches Übergewicht)
- Beruflich wenig Bewegung, privat sportlich inaktiv
- Schmerzen beim Treppensteigen und bei Belastung
Therapiemaßnahmen über 12 Monate:
- Übungen in Eigenregie: Nutzen von nachweislich wirksamen Programmen zur gezielten Muskelkräftigung, Dehnung und Verbesserung der Beweglichkeit
- Verhaltensmassnahmen: richtiges Heben, hohes Sitzen, Vermeiden von Überlastungen
- Gewichtsreduktion: Ernährungsberatung und strukturiertes Abnehmprogramm führten zu 15 kg Gewichtsverlust
- Physiotherapie: In Ergänzung zum Training in Eigenregie Physiotherapie
- Leichte sportliche Aktivität: Regelmäßiges Radfahren und Schwimmen als knieschonende Aktivitäten
Ergebnisse nach 12 Monaten:
- Schmerzreduktion um 60% auf der visuellen Analogskala
- Gehstrecke über 2 Kilometer ohne Beschwerden
- Deutlich verbesserte Lebensqualität und Alltagsfunktion
- Keine Schmerzmittel mehr nötig
Erfolg: Die Patientin konnte ihre berufliche Tätigkeit ohne Einschränkungen fortsetzen und ist auch privat mit vermehrter Mobilität wieder zufrieden integriert.

Patienten nach einer ambulanten Knie-OP:

Bei Gonarthrose lohnt sich die Behandlung bei ausgewiesenen Expert:innen. Ein aktueller Pressebericht über Prof. Dr. med. Joachim Grifka zeigt, wie die gezielte Arztwahl den Therapieerfolg entscheidend verbessern kann.
Häufig gestellte Fragen zur Gonarthrose
Ist Gonarthrose heilbar?
Nein, eine Heilung im eigentlichen Sinne ist nicht möglich, da zerstörter Knorpel sich nicht regeneriert. Jedoch kann der Verlauf der Erkrankung durch geeignete Maßnahmen deutlich verlangsamt und die Beschwerden gelindert werden. Frühe Intervention kann das Fortschreiten effektiv verlangsamen.
Wann ist eine Operation notwendig?
Eine Operation wird empfohlen, wenn konservative Therapien ausgeschöpft sind und die Beschwerden die Lebensqualität stark beeinträchtigen. Bei schwerer Gonarthrose mit nächtlichen Ruheschmerzen und erheblichen Funktionseinschränkungen kann ein Gelenkersatz die Lebensqualität deutlich verbessern.
Hilft Bewegung bei Gonarthrose?
Ja, regelmäßige Bewegung ist essentiell für die Knorpelernährung. Der Gelenkknorpel wird durch Bewegung mit Nährstoffen versorgt. Gleichzeitig stärkt Bewegung die Muskulatur und stabilisiert das Gelenk. Wichtig ist die richtige Dosierung – weder Über- noch Unterforderung.
Welche Sportarten sind bei Gonarthrose geeignet?
Kniegelenkschonende Sportarten sind ideal: Radfahren, Schwimmen, Nordic Walking, Aqua-Jogging. Diese Aktivitäten stärken die Muskulatur ohne übermäßige Belastung des Kniegelenks. Kontaktsportarten, Sprungsportarten und stop and go müssen vermieden werden.
Kann die Ernährung die Gonarthrose beeinflussen?
Eine entzündungshemmende Ernährung kann unterstützend wirken. Omega-3-Fettsäuren, Antioxidantien und eine ausgewogene Ernährung können Entzündungsprozesse im Körper reduzieren. Wichtiger als spezielle Nahrungsmittel ist jedoch die Gewichtskontrolle bei übergewichtigen Patienten.
Sind Nahrungsergänzungsmittel sinnvoll?
Die Evidenz für Nahrungsergänzungsmittel ist nicht klar. Studien zeigen keine klaren Effekte. Bei Arthrose kann man sich nicht gesund essen.
Können physikalische Therapien helfen?
Wärme- und Kälteanwendungen, Elektrotherapie und andere physikalische Maßnahmen können die Symptome lindern und die Beweglichkeit verbessern. Sie sind wertvolle Ergänzungen zur Bewegungstherapie, ersetzen aber nicht die aktive Behandlung durch Übungen und Muskelaufbau.
Fazit: Die wichtigsten Erkenntnisse zur Gonarthrose
Frühe Diagnose ermöglicht effektive gelenkerhaltende Therapien. Je früher eine Gonarthrose erkannt wird, desto besser können konservative Maßnahmen den Krankheitsverlauf positiv beeinflussen. Erste Anlaufschmerzen oder Beschwerden beim Treppensteigen sollten ernst genommen werden.
Multimodale Behandlung aus Bewegung, Gewichtskontrolle und gezielter Therapie zeigt die besten Ergebnisse. Die Kombination verschiedener Therapieansätze ist einzelnen Maßnahmen überlegen. Physiotherapie, angemessene Bewegung, Gewichtsreduktion bei Bedarf und symptomatische Behandlung ergänzen sich optimal.
Fettstammzellen-Transplantation. Bevor ein künstliches Gelenk implantiert wird, sollte man die sehr schonende und in der Literatur nachweislich effektive Fettstammzellen-Transplantation ins Kniegelenk nutzen. Vom Bauchfett werden Stammzellen und Wachstumsfaktoren gewonnen und ins Kniegelenk in Fettbereichen implantiert. Das reduziert Entzündungen mit Schwellungen und Ergussbildung und ermöglicht damit vielen Menschen, dass sie auch bei ausgeprägten Arthrosen ohne oder mit nur mäßigen Beschwerden gehen können.
Operative Eingriffe sind erst bei sehr fortgeschrittenen Stadien erforderlich. Bei Instabilitäten und ausgeprägten Fehlstellungen bleibt nur ein künstliches Gelenk. Moderne Knieprothesen bieten bei schwerer Gonarthrose ausgezeichnete Langzeitergebnisse mit über 90% Zufriedenheit nach fünfzehn Jahren. Der Eingriff sollte jedoch erst nach Ausschöpfung konservativer Möglichkeiten erwogen werden.
Eigenverantwortung des Patienten ist entscheidend für den Therapieerfolg. Regelmäßige Bewegung, Gewichtskontrolle und die konsequente Umsetzung der Therapieempfehlungen bestimmen maßgeblich den Verlauf der Erkrankung. Passive Behandlungen oder Physiotherapie ohne Eigentraining reichen nicht aus.
Realistische Erwartungen sind wichtig. Es gibt keine Wunderheilungen, aber mit der richtigen Behandlung lassen sich Beschwerden deutlich lindern und die Lebensqualität erheblich verbessern.
Nächster Schritt: Gesichterte Informationen erhalten Sie in meinem „Ratgeber Knie“, Springer-Verlag. Sie finden verlässliche Auskünfte zur Erkrankung, Verhaltensmassnahmen und Übungen in Videoform, die sie eigenständig zu Hause durchführen können. Ich empfehle, dass Sie mit Ihrer Physiotherapie die Übungen durchgehen und so wissen, was Sie individuell gut machen können, um Ihr eigenes Kniegelenk möglichst lange fit zu halten.
Weitere Infos:

Ich wünsche Ihnen gutes Gelingen
Prof. Dr. Joachim Grifka